11th European Laryngological
Live Surgery Broadcast
18th November 2026 | 9.00 - 16.00 CET (GMT+1)
Case
Prof. Miquel Quer (Barcelona)
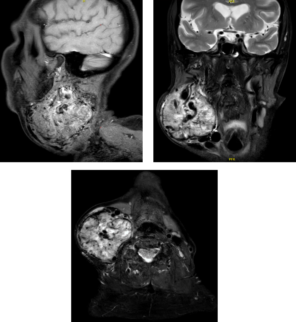
A 74-year-old female was on observation for an asymptomatic vagal paraganglioma for several years, until she desired to undergo surgery. At the time of surgery, the tumor was 7cm and the nerve was already paralyzed.
It was treated surgically on June 2025 with complete tumor resection and type I thyroplasty. Surgery led to worsening of the X cn paralysis with severe dysphagia and aspirations. Patient is currently fed through PEG.
Examination:
FEES: Residue in the hypopharynx; penetrations.
Proposed surgery: Pharyngoplasty and cricopharyngeal myotomy.
Back











