11th European Laryngological
Live Surgery Broadcast
18th November 2026 | 9.00 - 16.00 CET (GMT+1)
Case
Prof. Małgorzata Wierzbicka (Wrocław - WUST)
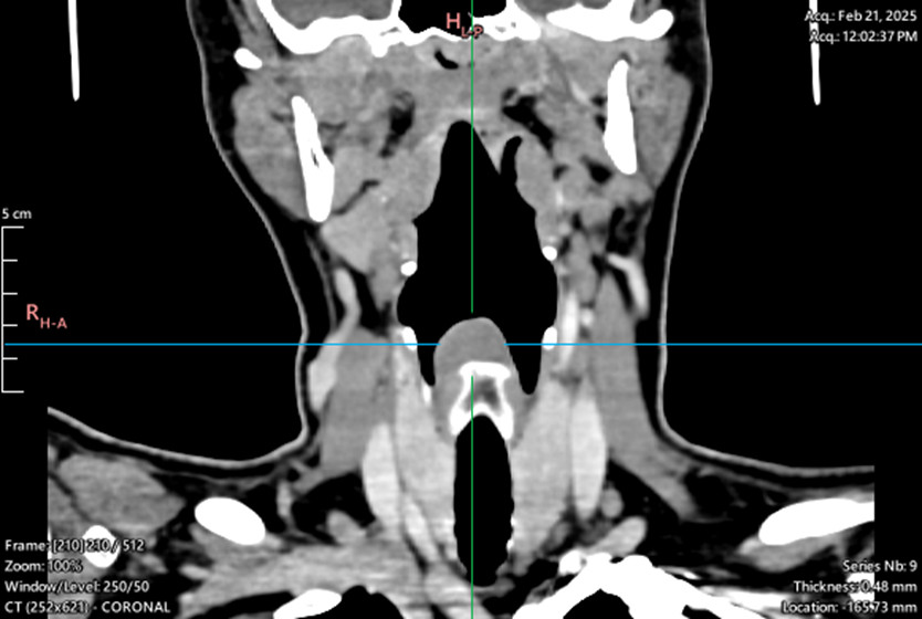
Patient No 2.
Laryngeal tumor - posterior commissure
Biopsy, granular cell tumor, granular cell myoblastoma, Abrikossoff tumor/div>
Back
Symptoms: hoarseness, sensation of a foreign body in the throat, dysphagia
Comorbidities: no/div>
Back












